Summercrest Dental
A Great Dentist
  • A friendly place

    to put down roots.

  • See if this revolutionary
    teeth-straightening system is
    right for you.

  • We accept a variety

    of insurance carriers.

  • The Inman Aligner is a revolutionary
    appliance that can move front teeth
    predictably, safely and quickly at a fraction
    of the cost of traditional orthodontics.

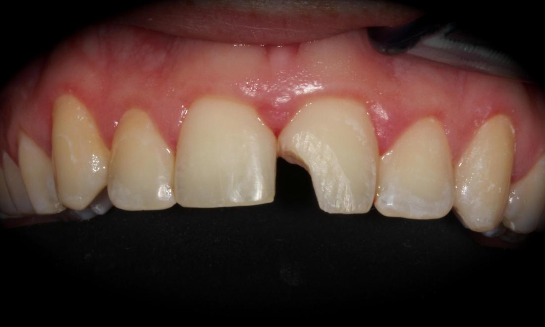
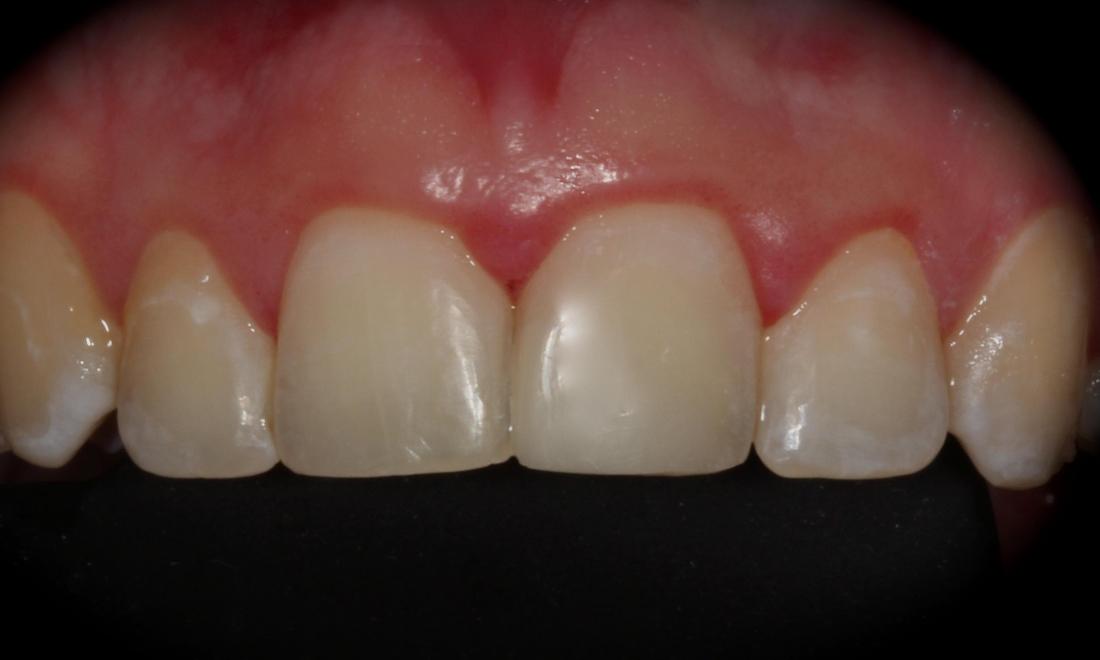
Broken Front Tooth Repaired with Composite Bonding

This patient came in with a sports-related injury to his front tooth. While more expensive options like a crown or veneer are commonly used for such injuries, in this case we were able to achieve a cosmetic result for this student quickly and affordably.
Thank You for Fixing My Front Teeth

To Dr Gilstrap,
I am writing to give you my thanks for the help that you gave me recently with my broken front teeth. As you may recall, my situation was difficult as I needed because I needed the teeth repaired in a shorter time frame than normal. I would just like to thank you and your staff because when I got home, nobody noticed that anything had been happened to my front teeth. I think the repair looks and performs better than the previous repair and it is safe to say that we have a mission accomplished!
On top of that I would just like to thank you for such great service that you gave in such a short window of time. You and your staff made the repair process go by so quickly and smoothly. And lastly, but to least, I would like to thank you deeply for your kind act of generosity. The accident occurred at a difficult time for me and the financial arrangements you made for me were a great help. Your work was a huge blessing to me and is something I truly appreciate. Thank You.
God Bless, A.S.

Ready to book an appointment?
If you have difficulty using our website, please email us or call us at (913) 491-4516
View the ADA Accessibility Statement