Summercrest Dental
A Great Dentist
  • A friendly place

    to put down roots.

  • See if this revolutionary
    teeth-straightening system is
    right for you.

  • We accept a variety

    of insurance carriers.

  • The Inman Aligner is a revolutionary
    appliance that can move front teeth
    predictably, safely and quickly at a fraction
    of the cost of traditional orthodontics.

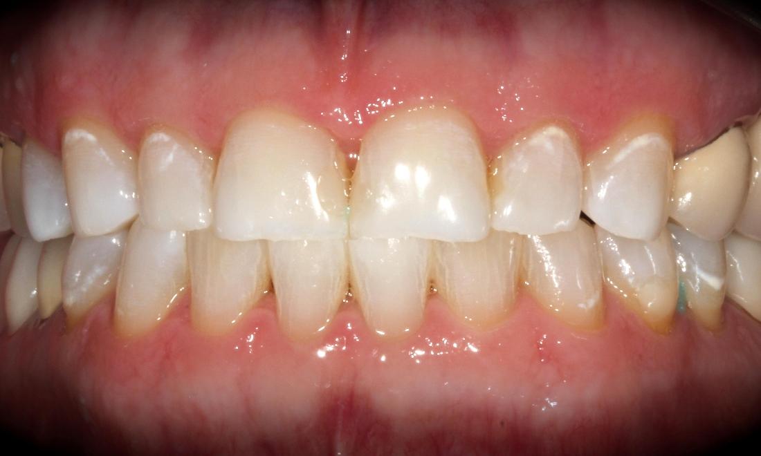
KoR Whitening

This patient's results show what the KoR whitening system can accomplish compared to other systems. It penetrates deep into the dentin to whiten the tooth at its core, removing the grey tones that are related to aging.

Related Services:

KöR Teeth Whitening
Not finding what you need?
If you have difficulty using our website, please email us or call us at (913) 491-4516
Privacy Policy